Hàn trám là phương pháp giúp che lấp các khuyết điểm trên răng trong các trường hợp như răng bị sứt, mẻ, gãy vỡ, răng thưa nhằm giúp khôi phục tính thẩm mỹ, khả năng giao tiếp và bảo vệ răng tránh không bị sâu. Với sự ra đời của công nghệ hàn trám răng thẩm mỹ laser tech đã mang đến cho nhiều khách hàng cơ hội loại bỏ khiếm khuyết, bọc răng sứ có tốt không giúp bảo tồn răng luôn đẹp hoàn hảo bằng nhiều ưu điểm vượt trội.
Trám răng thưa là gì?
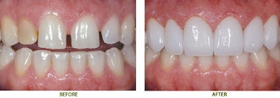
Phương pháp trám răng thưa chính là quá trình hàn đóng kẽ răng thưa bằng các vật liệu nhân tạo tương thích với răng về màu răng cũng như tính chất của răng. Các vật liệu nhân tạo sẽ được sử dụng để tạo thành các cạnh răng làm tăng kích cỡ bề ngang của thân răng. Nhờ vậy những khe hở do răng thưa sẽ được bít kín với nhau một cách đẹp nhất. Vấn đề bọc răng sứ cho răng thưa bao nhiêu tiền ai cũng nên tìm hiểu.
Vật liệu dùng để trám răng là composite. Vật liệu này có màu sắc y như răng thật nên tính thẩm mỹ luôn được duy trì và sẽ không dễ dàng nhận thấy bởi người đối diện. Đồng thời, chất liệu này có độ bền cao, chịu được sự mài mòn thường xuyên xảy ra trong miệng và có khả năng chịu lực tốt như răng thật.

Ưu điểm của trám răng thưa
Thực hiện nhanh, tiết kiệm thời gian
Thời gian thực hiện nhanh, chỉ trong 15 phút/khe thưa và hoàn thành trong một lần đến phòng khám. Điều này thuận lợi rất nhiều cho những khách hàng bận rộn, có ít thời gian.
An toàn và không xâm lấn răng thật
Phương pháp trám răng thưa này được hiểu đơn giản là chỉ gắn thêm lên răng một vật liệu bảo vệ chứ không mài mòn hay tác động lên mô mềm răng nên không làm răng yếu đi.
Không gây đau đớn
Kỹ thuật diễn ra nhẹ nhàng và không xâm lấn răng nên không gây đau đớn cho người thực hiện.
Chi phí thấp
Chi phí thấp hơn các phương pháp khắc phục răng thưa bằng bọc răng sứ hay niềng răng. Chi phí trám răng Composite trên thị trường hiện nay chỉ dao động trong vài trăm nghìn đồng. Bất cứ ai, dù là học sinh, sinh viên hay người có thu nhập thấp đều có thể thực hiện.
Có tính thẩm mỹ cao
Tính thẩm mỹ cao, vật liệu sau khi lấp đầy khe thưa sẽ dễ dàng tạo hình và chỉnh màu sao cho đạt tính thẩm mỹ cao nhất có thể.
Thời gian trám răng có lâu hay không còn phụ thuộc vào địa chỉ và tay nghề bác sĩ thực hiện. Nếu được thực hiện bởi bác sĩ có kinh nghiệm chuyên môn và tay nghề giỏi thì thời gian duy trì sẽ được kéo dài lâu hơn. Vì thế nên lựa chọn cho mình một trung tâm nha khoa uy tín để được giải đáp răng đã lấy tủy có nên bọc răng sứ không và chất lượng để thực hiện trám răng thưa.
Trám răng thưa bằng công nghệ Laser Tech
Công nghệ Laser Tech là phương pháp trám răng thưa tiên tiến nhất hiện nay giúp cho miếng trám dính vào răng có độ bám cao và đạt được thẩm mỹ lớn hơn nhiều.
Ưu điểm của công nghệ này là tạo nên sự hài hòa về tỷ lệ kích cỡ giữa các răng thật và làm tăng tuổi thọ sử dụng của vật liệu trám răng. Hiện công nghệ này đang được rất nhiều bệnh viện tin tưởng sử dụng vì nó có khả năng tạo ra các châm bám cố định trên răng, hạn chế khoang rỗng, xoang trám thấm nước.
Sau quá trình trám răng thưa, kẽ răng bị hở sẽ bị bít kín và cho màu sắc răng như thật mà không sợ lộ viền răng, chức năng ăn nhai như bình thường. Hơn nữa, quá trình này không gây ảnh hưởng tới sức khỏe của người bệnh, không gây đau đớn, ê buốt trong lúc thực hiện vì không gây xâm lấn đến cấu trúc của răng.
Sau khi trám răng thưa bạn cũng nên có chệ độ sinh hoạt và ăn uống hợp lý nhằm bảo tuổi thọ của răng. Sau mỗi bữa ăn nên vệ sinh răng miệng sạch sẽ bằng bàn chải hay chỉ nha khoa. Không ăn những thức ăn quá cứng, nóng, lạnh, cay nhằm gây ảnh hưởng tới vật liệu trám như đá, ớt, mỳ cay…
Bài viết được trích nguồn từ: https://tuvanniengrangantoan.blogspot.com
Thông tin liên hệ:
Trung tâm nha khoa Đăng Lưu
Địa chỉ:
Cơ sở 1: 34 Phan Đăng Lưu, P.6, Q.Bình Thạnh –(+84 8) 6297 7148
Cơ sở 2: 540 Trần Hưng Đạo, P.2, Q.5 –(+84 8) 6682 0346
Hotline: (+84 8) 66820346
Tg: Ngavvt